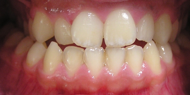
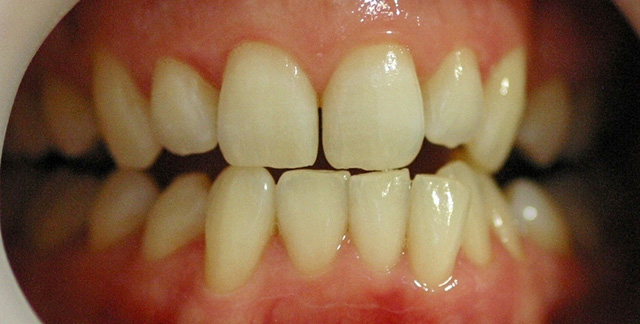
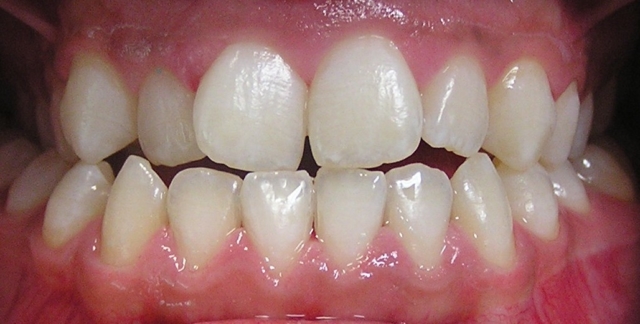
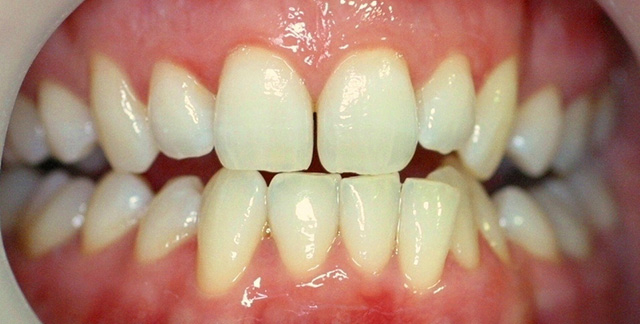
These examples were treated with Laserbrite in our rooms in a 90 minute treatment which includes a cleaning. Patients take a maintenance pack with this which is also included.
Results will vary. All invasive procedures carry risks. You should seek a second opinion prior to treatment.






